Cursusaanbod
Online interactief onderwijs
Bekijk hieronder het cursusaanbod van icu.nl
Na aanschaf van een cursus kun je direct aan de slag!

Deze cursus heeft het doel om het invasief beademen van patiënten op de IC volgens de laatste evidence-based aanbevelingen uit te voeren. Om de klinische uitkomst voor de patiënt te verbeteren.

Je leert hier het starten, doseren en staken van continue nierfunctievervangende therapie (CRRT) bij IC-patiënten met (acute) nierinsufficiëntie.

Je leert hoe je echo effectiever toepast in de diagnostiek naar longpathologie bij de acuut en kritisch zieke patiënt. Hierdoor kan onnodige blootstelling aan röntgenstraling worden voorkomen en kan bedside de diagnose worden gesteld.

Deze cursus focust op multiparametrisch redeneren en het nemen van passende behandelbeslissingen bij patiënten met shock. Je leert hoe je iatrogene schade bij een hemodynamisch instabiele patiënt kan voorkomen.

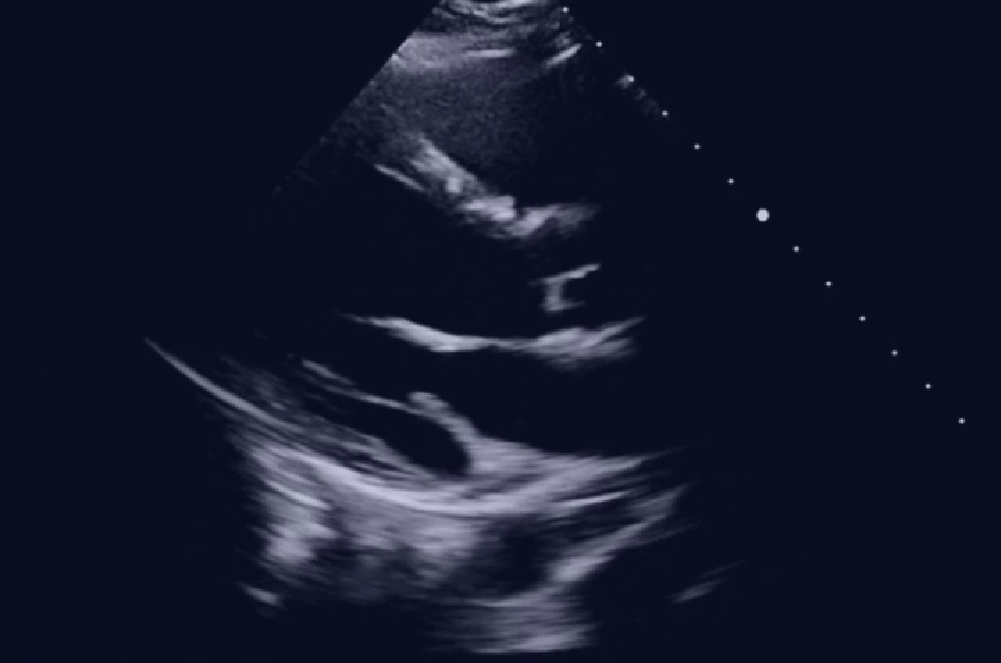
Deze cursus richt zich op het gebruik van bedside hartecho om te helpen differentiëren tussen verschillende soorten shock. Daarbij leer je hoe je op de juiste manier standaard echoviews van het hart maakt.
Wil je ook gebruikmaken van de protocollen? Meld je aan!
Meld je aan om toegang te ontvangen tot de protocollen op
protocol.icu.nl
Maak er gebruik van in je dagelijkse praktijk en ontdek hoe icu.nl ook voor jouw organisatie werkt.
Samen. Leren. Doen. Gelukt!
Hartelijk dank voor je aanmelding en je ontvangt de uitnodiging voor de protocollen op protocol.icu.nl zo spoedig mogelijk. Na 24 uur nog niets ontvangen of andere vragen? Neem dan contact met ons op.
Plan een afspraak in
Benieuwd naar hoe het voor jouw organisatie werkt?